ACRS、やっぱり良い!
25.04.15最近、首の治療を集中的に受けているので
首の治療の話題が続いています。
今回は、ACRSを首に注射しましたので、
そのご報告です。

Contents
PRPとACRSの違い
PRPは有名なので聞いたことがある方、多いと思いますが、
ACRSはその進化版です。
PRPもACRSも、ご自身の血液で若返る再生医療の一つです。
『異物を入れるのではなく、自分の血液で
手軽にできる再生医療』
というのが日本人の気質に合っているのか、
根強い人気があります。
いきなり再生反応が始まるACRS
組織を鍛えるためにはまず、適度なダメージを与える必要があります。
例えば筋トレでは
トレーニングで筋肉に適度なダメージを加わって、
筋肉痛が起きたりしますが、
そのダメージから回復する過程で筋肉が育ちます。
レーザー治療では肌に熱を加えて肌にダメージを与えることで
コラーゲンが増えます。
同じ様に、PRPを肌に投与すると、
肌の上で炎症が起きて創傷治癒反応が起こり、
サイトカインや成長因子が増えて美肌効果が得られます。
対してACRSは、
試験管の中で人工的に創傷治癒反応を3時間かけて起こし、
抗炎症性サイトカインが3倍、成長因子が15倍!程度に
増えたものを戻しますから、
ダメージの工程がスキップされて、
肌の上でいきなり抗炎症作用と肌再生から反応が始まる、という訳です。
ダウンタイムが少ない
肌にダメージを与える過程がスキップされるので、
ダウンタイムは劇的に短くなります。
ACRSでは抗炎症性サイトカインだけが増えて、
炎症性サイトカインが増えない、という点も
ダウンタイムが短くて済む理由の1つです。

↑ 今回、首に手打ち注射で行いました。
治療直後は写真のように凹凸があります。

それが、翌日にはこんな感じで滑らかになりました。
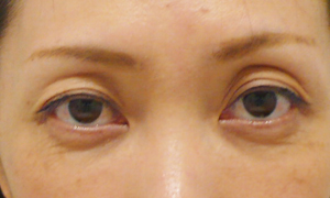
以前、目周りにACRSを行った時も、
翌日の腫れがゼロでした。
目周りは特に腫れやすく、PRPだと2~3日はパンパンに腫れます。
効果が安定している
ACRSは人工的にベストな環境を作って
サイトカインと成長因子を増やした物を戻しますから、
体調に左右されることなく、
安定して高い効果を出すことができます。
ACRSはご自身の成分だけ!
PRPでは抗凝固剤の入った試験管を使いますが、
ACRSでは抗凝固剤も使わず、
ピュアな自分の血液だけを使用しますから、
アレルギーが起きません。
混ざり物のPRPにはご注意を
PRPでほうれい線が浅くなる、おでこが丸くなる、クマが浅くなる、
その効果が何年も続く、と謳っている宣伝を時々目にしますが、
本来のPRPは、肌がキレイになって
たるみがちょっと改善して、
どこが変わったか分からないけれど、なんかキレイ!
というナチュラルな若返り効果が得られるもので、
ほうれい線を浅くしたり、おでこが丸くしたりするような
強力な効果はありません。
まして、その効果が何年も持続することはありません。
強い効果が出るPRPは純粋なPRPではなく、
成長因子(フィブラスト)などが混ぜられていることが考えられます。
フィブラストは元々、褥瘡などの治療に使用される外用剤で、
注射用の薬剤ではありません。
強力に脂肪やコラーゲンを増やす効果があり、
1回の治療でほうれい線が浅くなったり
おでこが丸くなったり
肌のハリがアップした状態が何年も続きます。
ただ、効果が強く出過ぎてしまうと
コラーゲンや脂肪が過剰に増殖してしこりができてしまったり、
ひどい場合には人相が変わってしまうことがあります。
もしそうなってしまった場合、ステロイドや脂肪溶解注射で緩和はできますが、
完全に元に戻すことは難しいので要注意です。
当院のACRSは一切、混ざり物がなく、
ピュアなACRSだけを投入しますので安全性が高いです。
状態によってはより良い効果のためにトラネキサム酸やボトックスなど
他薬剤の同時投与をお勧めすることがありますが、
安全性の高い薬剤を吟味しています。
自分の血液で若返るACRS(スーパーPRP)
ACRSの流れをご紹介します。

まず、10mLちょっと、採血します。

それを特殊な特殊な試験管の中に入れて
3時間インキュベーションし、
抗炎症性サイトカインを約5倍、成長因子を約15倍(!!)
増やした状態にしてから

有効成分が入った部分を取り出して
気になる部位に戻します。
抽出できる量は2mLのこともあり、5mLのこともあったりと
バラツキがありますが、
抽出量は多ければ良い、という訳ではありません。
当院ではまとめて何本分かを一気に採血して
分離することがあります。
同じ条件で分離・抽出しても、
量は1本1本違うことがよくあります。
抽出量が少ない検体は、多いものに比べて
色が濃く、見るからに密度が濃いことが多いのです。
抽出量が多く取れた場合は他部位にも注入するクリニックがありますが、
私は成長因子やサイトカインの含有量は
抽出量が多くても少なくても変わらないのではないかと考えているので、
多く取れた時も、範囲を広げずにしっかり入れるようにしています。
半年間、保管が可能です
ACRSは冷凍保管が可能です。
インキュベーションが終わるまで3時間待ってから治療する、
となると時間がかかってしまいますが、
採血だけ先にして冷凍保管しておけば、
いつでも希望の時に治療がすぐに受けられます。
患者様の感想
患者様からいただきました感想です。
(色々な治療の感想が混ざっています)
感想を頂きましたみなさま、ありがとうございます!

『去年の年末時よりも肌にツヤが出た事、法令線が明らかに目立たなくなった事、肌の色も白くなりました。
家族写真を見て実感しました。家族に健康に見えると言われます。(健康ですが、顔面が)』
(50歳 女性 2023年12月20日)

『丁寧に施術して頂き、施術後すぐに顔のくすみがとれて明るくなったのが分かりました。
最初は、他の治療を考えていたのですが、先生のご意見をお聞きして本当に良かったです。』
(43歳 女性 2025年3月24日)

『定期メンテとしていつもお世話になり、安心してお任せすることができます。これからも定期的にお世話になりたいと思う医院です。』
(42歳 女性 2025年3月22日)

『ショッピングリフト1回目ですが、悩みが少し改善しました。
3か月おきに続けてみたいと思います。いつもありがとうございます。』
(50歳 女性 2025年3月22日)

『池上先生のデザインで毎回うれしい思いで過ごしています。いつもありがとうございます。』
(61歳 女性 2025年3月22日)

『いつもありがとうございます。
池上先生、スタッフの皆様とても親切で、安心して通っております。技術とセンス素晴らしいです。』
(54歳 女性 2025年1月24日)

『細かく丁寧に施術していただき安心してお任せできます。』
(53歳 女性 2025年1月20日)

『本当にバランスが大事だと感じております。
いつもお世話になりまして、ありがとうございます。』
(54歳 女性 2024年1月27日)

『いつもやりすぎ感のない自然な仕上がりでとても気に入っています!』
(37歳 女性 2024年1月23日)

『スタッフの皆様が優しく、対応もしっかりしていて安心できます。』
(48歳 女性 2023年12月21日)
にほんブログ村と人気ブログランキングに参加しています。
2つクリックして頂けると励みになります★
↓ ↓ ↓ ↓ ↓






















